Montebello Dental Services
Elevated care,
designed around you
Modern dental care for
Montebello and beyond
Precision
Digital imaging and advanced scanning guide every recommendation. You receive a clear plan based on measurable detail, designed for predictable outcomes and fewer surprises.
Comfort
Your visit is designed to feel calm and unhurried. Thoughtful comfort details and clear communication support a composed experience from the first consultation to the final result.
Personalization
Dentistry is never one-size-fits-all. We tailor care around your goals, timelines, and long-term stability, so your treatment feels intentional and clinically sound.
General Dentistry
Our approach to Montebello dental services emphasizes prevention, early detection, and clear guidance, delivered with modern diagnostics and a patient-first experience.

Preventive Care
Cleanings, exams, digital x-rays, and personalized hygiene guidance protect your smile with a modern, proactive approach. We focus on early detection, gum health, and a plan you can maintain with ease.

Family Dentistry
Family care is delivered with the same elevated standard, from early visits to ongoing preventive support. We take a gentle, confidence-building approach for children and provide clear guidance for every stage of oral health

Emergency Dentistry
When something feels urgent, you deserve swift clarity and decisive care. We prioritize same-day appointments when possible to diagnose, relieve discomfort, and stabilize the issue with a calm plan forward.
Restorative Dentistry

Dental Implants
Dental implants replace missing teeth with stability that looks natural and functions with confidence. We use digital planning and 3D imaging for precise placement and refined results, from single implants to more comprehensive solutions.

Root Canals
Root canal therapy can relieve discomfort while preserving your natural tooth. With detailed imaging and modern techniques, we remove infection, seal the tooth, and restore strength so you can return to comfort with confidence.

TMJ Care
TMJ tension and jaw discomfort often relate to clenching, grinding, or bite imbalance. We evaluate function carefully and may recommend a custom nightguard, bite refinement, or coordinated care to reduce strain and protect your teeth.
Cosmetic Dentistry

ClearCorrect
Clear aligners offer a discreet, modern path to improved alignment and bite balance. Using digital scans and personalized planning, we guide predictable movement while keeping your look refined throughout treatment.

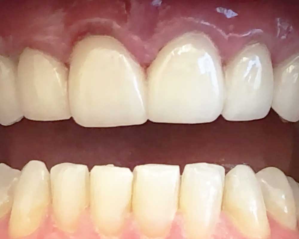
Veneers
Porcelain veneers refine shape, color, and symmetry with a highly customized approach. Ideal for patients seeking controlled, aesthetic transformation with natural-looking results.

Teeth Whitening
Professional whitening offers brighter results with controlled sensitivity. Can be positioned as in-office or custom take-home, emphasizing predictability and polish rather than speed.
Advanced care
with a human touch
3D Imaging
CBCT imaging supports precise diagnosis and treatment planning, especially for dental implants, root canals, and complex cases. It helps us evaluate bone, anatomy, and detail with greater confidence before we begin.
Digital Scans
Intraoral scanning replaces traditional impressions for many treatments. It captures high-resolution detail for clear aligners, crowns, and restorations, improving accuracy while keeping your experience cleaner, faster, and more comfortable.
Guided Planning
Digital design and guided workflows help us plan each step before treatment begins. This supports a more controlled appointment, refined results, and a plan you can visualize, understand, and feel confident moving forward with.
Chairside Efficiency
When appropriate, in-office digital workflows can streamline select treatments to reduce delays and simplify scheduling. You spend less time waiting between steps, with quality and fit carefully maintained throughout.
Not reviews
RELATIONSHIPS
Your 5-star dentist in Montebello
Experience
THE DIFFERENCE
Discover cutting-edge dentistry built around comfort and personal attention. Schedule your visit today.
Visit us in
Montebello
- (323) 721-7153
Monday-Thursday: 8am-5pm
Friday: 8am-12pm
Saturday-Sunday: Closed





